��(d��ng)�}����Ӳ��(Atherosclerosis��AS)��Ѫ���ܓp���һ�N�����װY����(y��ng)�����F(xi��n)���(d��ng)�}��(n��i)��Ѫ֬����Ҫ��đ�̴����ȷe���γɵİ߉K����(d��o)��Ѫ�ܱ������Ӳ��������Ѫ���¼��Ī�(d��)��Σ�U(xi��n)���ء������װY���J(r��n)��������AS��׃����Ҫ�(q��)��(d��ng)���ء��߉K�γɵIJ����^(gu��)���У�����ѭ�h(hu��n)�κ˼�(x��)��ļ����Ѫ�܃�(n��i)Ƥ�£�����K�ֻ�����ɼ�(x��)������ĭ��(x��)�������⣬���ױ��͵ľ��ɼ�(x��)�����ڵļ�(x��)�����Ӻ͵���ˮ��ø�M(j��n)һ���ӄ��߉K�������װY�h(hu��n)�����Ķ����M(j��n)�߉K�M(j��n)չ����ˣ��{(di��o)��(ji��)�װY��̖(h��o)�Ƿ�(w��n)��AS�߉K�������ί����ԡ�
�߉K�д��ױ��͵ľ��ɼ�(x��)�����^(gu��)�ȱ��_(d��)��ROS�����ڴ������ӵ�ጷţ����m(x��)���ڵ��װY�h(hu��n)����(d��o)��(d��ng)�}����Ӳ���߉K���M(j��n)չ��ͨ�^(gu��)����߉K���ɼ�(x��)���е�ROS���p�p������(y��ng)���p�����{(di��o)��(ji��)�h(hu��n)���еľ��ɼ�(x��)���O����(l��i)�{(di��o)��(ji��)AS���M(j��n)չ���P(gu��n)��Ҫ���F(tu��n)�(du��)��ǰ���о��������l(f��)�F(xi��n)���K���{���w�����������ԗl�������������ɻ�����(sh��)�F(xi��n)��^(gu��)������ø��CAT���Ļ��ԡ����⣬��(d��ng)�}����Ӳ�����װY�c�����Ժ��m��(y��ng)�����ߑ�(y��ng)��ļ������P(gu��n)�����ɼ�(x��)����ROS�����Ӵ��M(j��n)TRAF6�Ļ��TRAF6�ǿ���CD40L-CD40-TRAF6��̖(h��o)���������ӡ�CD40��CD40L�Ĺ��̼��T��(d��o)���ɼ�(x��)����T�ܰͼ�(x��)�������(d��o)�´���(x��)�����ӵ�ጷţ��ӄ���(d��ng)�}����Ӳ��Ѫ�ܱ���ѭ�h(hu��n)�κ˼�(x��)����ļ���ͷֻ�����ˣ����о���(g��u)��������ɼ�(x��)���е�ROS�Ľ����K�{���wϵ������TRAF6���Ե�С�������Ƅ��{���wϵ��(l��i)�{(di��o)��(ji��)�߉K�h(hu��n)��������Ч�ؿ��Ƅ�(d��ng)�}����Ӳ�����M(j��n)չ���D1����

���ˌ�(sh��)�F(xi��n)TRAF6���Ƅ���Pt�{�����İ����f�ͣ��о��F(tu��n)�(du��)�_(k��i)�l(f��)��һ�N����֬�|(zh��)Ĥ��ļ{���f��ϵ�y(t��ng)������ģ�MApoA1���ܵ������Č�(du��)�f���wϵ�M(j��n)�������(sh��)�F(xi��n)��(du��)�����(l��i)Դ���P(gu��n)��(x��)���İ������ã��D2�����о��l(f��)�F(xi��n)37pA-PtLNP���Ը����ڹ����(l��i)Դ�ľ��ɼ�(x��)���У�ͨ�^(gu��)�����(x��)����(n��i)ROS���p�p������(y��ng)�����{(di��o)��(ji��)�߉K�h(hu��n)����Ȼ�����Ϊ�(d��)ʹ��37pA-PtLNP������Ч������ɼ�(x��)����M1���͵ĘO�����c37pA-LNP/6877002��ͬ�oˎ�������ƾ��ɼ�(x��)����M1���͵ĘO�����@Ҳ�p����M1���ɼ�(x��)���錧(d��o)�����Լ�(x��)�����ӵĮa(ch��n)�����D3��������Ҫ���ǣ�37pA-PtLNP��37pA-LNP/6877002��ͬ�oˎ��AS ģ�̈́�(d��ng)�������(d��ng)�}�߉K���@���ˣ���ͨ�^(gu��)�p��������(y��ng)�������ƴ���(x��)�����ӵ�ጷŁ�(l��i)��(sh��)�F(xi��n)�װY���ߑ�(y��ng)����{(di��o)��(ji��)���D4����

�D2 A) 37pA-PtLNP�ĺϳɵ�ʾ��D��B) Pt�{���Ǻ�37pA-PtLNP�ĸ߷ֱ�TEM�D (��(bi��o)�ߣ�10 nm(��(n��i)��)��50 nm��100 nm); C) 37pA-LNP/6877002���Ƃ�ʾ��D��D) LNP(֬�|(zh��)����PCEC NP)��37 pA-LNP��TEM�D (��(bi��o)�ߣ�100 nm).

�D3 A) �{���wϵ37pA-LNP/6877002��37pA-PtLNP��(du��)�����(l��i)Դ���ɼ�(x��)���O���ĝ���Ӱ푣�B-C) ��ʽ��(x��)���g(sh��)������ͬ̎���Ĺ����(l��i)Դ���ɼ�(x��)���O�����Լ������(l��i)Դ���ɼ�(x��)��CD86���_(d��)�İ붨������ (n=5��**p<0.01)��D) ����ӡ�E���z�y(c��)��ͬ̎���Ĺ����(l��i)Դ���ɼ�(x��)����iNOS��CD206���_(d��)��E-F) �붨������iNOS��CD206�ı��_(d��)��G-I) CBA�z�y(c��)���Լ�(x��)������TNF��IL-6��IL12p70��ˮƽ(n=3, *p<0.05, **p < 0.01).

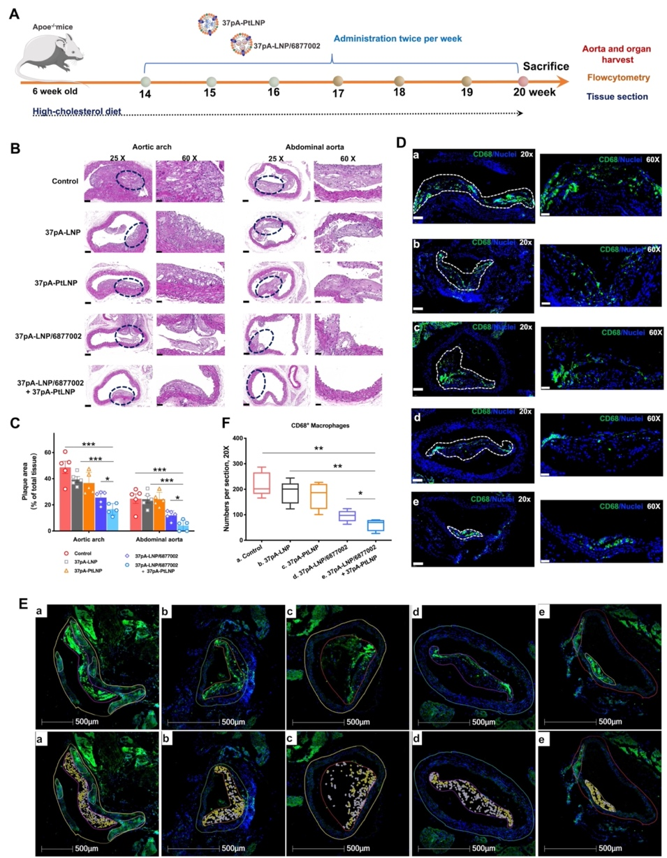
�D4 A) ASģ��(HCDι�B(y��ng)��ApoE-/-С��)ÿ�܃ɴ��o�}ע���ί�ʾ��D��B-C) ����(d��ng)�}��������(d��ng)�}�M������HE��Ƭ���Ͱ߉K��e�Ķ�����������(bi��o)�ߣ�100��m (25��), 40��m (60��)��D) ���ߟɹ������(d��ng)�}����Ӳ���߉K��CD68+���ɼ�(x��)��(�Gɫ), ��(bi��o)�ߣ�100��m(20��), 40��m (60��)��E) Halo�������ܛ����(du��)���ߟɹ���Ƭ�߉K��(n��i)CD 68+���ɼ�(x��)��(�Sɫ)�M(j��n)�Д�(sh��)�ֈD����� (��(bi��o)�ߣ�500��m)��F) CD 68+���ɼ�(x��)���Ķ�����(sh��)��(j��) (n=5, **p��0.01��***p < 0.001).
ԭ�ģ�https://doi.org/10.1002/adfm.202301053
- �Ĵ���W(xu��)�ߕ�(hu��)��(l��)���� Adv. Mater.: С�z�|(zh��)��(x��)��Ĥ�����ľ۶�Ͱ��{���f��ϵ�y(t��ng)���������Y���ί� 2025-01-27
- �Ϻ������t(y��)�W(xu��)Ժ�����F(tu��n)�(du��)��Adv. Drug Deliver. Rev.���C�����{���ۄ� - �۲������ľֲ��o(w��)��(chu��ng)�ί���ʽ 2023-02-16
- ���T(m��n)��W(xu��)����·�n�}�M AFM�����ý���-��Ӽ{���f��ƽ�_(t��i)�Y(ji��)�Ͽ��{(di��o)�صĵ͏�(qi��ng)�ȳ���(sh��)�F(xi��n)�[���ů��������ů�-��(d��ng)��(li��n)�ϯ��� 2022-07-22
- ���Ͻ���κ�F(tu��n)�(du��) AHM������С����ˮ���z�Ĺ�푑�(y��ng)�Թ���ϵ�y(t��ng)���M(j��n)����(j��ng)�p���ޏ�(f��)-M1/M2�;��ɼ�(x��)���cʩ�f(w��n)��(x��)���Ľ������� 2025-06-10
- �|�A��W(xu��)ʷ���(y��ng)���� Nano Today����������-��ӾW(w��ng)�j(lu��)�������Ե��טӶ����z����(sh��)�F(xi��n)ԭλ�X�z�|(zh��)������(d��ng)��/���W(xu��)��(d��ng)��/�����ί� 2025-05-28
- �|�ϴ�W(xu��)�����۽��ڈF(tu��n)�(du��) Adv. Sci.���_(k��i)�l(f��)��¶�������-����z�� ���ܾ��ɼ�(x��)�����������[�������ί� 2025-03-05
- ���_(t��i)��W(xu��)ꐴ�ȫ���ڈF(tu��n)�(du��)����(g��u)���p�����ܼ{���d�w������߰���Ч���ί���(d��ng)�}����Ӳ�� 2022-05-25
�\(ch��ng)���P(gu��n)ע�߷��ӿƼ�
- 2026����ߌ��Ї�(gu��)��(sh��)�(y��n)�Ұl(f��)չ...
- �����I(l��ng)Ʊح300+���h��I(y��)�R��...
- �P(y��ng)���Ж|�����L���Ѓx�����{(l��n)...
- �f(w��n)����Ŀ �ذ��_(k��i)�֣�2025�C(j��)...
- ICIE��(gu��)�H(�V��)Ϳ�Ϲ��I(y��)չ�[...
- �_(k��i)չ�ڼ����ۄ�(sh��)������朄�(d��ng)δ...
- 9������Ҋ(ji��n)���£�AI�(q��)��(d��ng)+��(gu��)�a(ch��n)...
- �P(gu��n)���e�k�ڶ�ʮ�����Ї�(gu��)��(gu��)�H...
- �R�ۼ�˃x�� ����ȫ���̙C(j��) ...
- CPHI����չ��(sh��)�(y��n)�҃x���c�O(sh��)��...
- ���ܹ��A��朆���������22��...
- ������/���f/�Y�� JACS���l(f��)...
- ��ɽ��W(xu��)��־�x�����w�����...
- ���������������ֈF(tu��n)�(du��) Angew...
- �Ϻ�����/��������(sh��)�(y��n)��...
- ���t(y��)��һ��Ժʢ�������/�A...
- �пƴ���Ƙ�(l��)������������/...
- �����������/������������...
- �㹤��������/�~��(hu��)Ҋ(ji��n)�n�}�M ...
- ��������-��־�F(tu��n)�(du��) AFM �C��...
- �|�ϴ�W(xu��)��������ڈF(tu��n)�(du��) Nat...
- ���ݴ�W(xu��)Ҧ����/κ��/����Ӱ...