�P��ܛ�ǽM���Л]��Ѫ�ܡ��ܰ͡��M����һ���l���p�����˻���׃���y�����ޏ͡�ܛ�ǽM���ēp���������Sܛ���¹ǵIJ�׃�������Ǻ�ܛ�ǽM�ɺͽY���ķӶ��֧�ܱ��J�����ޏ�ܛ�ǽM���ķ���֮һ��
�͵���W�ۺ�����ӹ��̇������c��������ζ����|�����c�����PI���Ϻ��Aɽ�tԺ������������������3D��ӡ���g��һ�����B�m�����p�Ӷ��ˮ���z֧�ܣ��ڛ]��ؓ�d��Դ�Լ��������L���ӵ���r�£��ɹ����T����ܛ�ǽM���ޏ����������l�F��Û��ˮ���z֧�ܵĿ�϶�����W���܌��M���ޏ���������ҪӰ푡�
�D1 һ�����B�m3D��ӡ�������p��֧�ܵĽM�ɽY�������ڹ�ܛ���ޏ��еđ���
�����|���ڈF��\�����������W���Ե����z����wgelMAˮ�wϵ�S�ضȽ��ͳʬFsol-gel�D׃֮�g��������������ˡ��������z���ĸ�������ں��m�ĸ��Գ̶ȡ���ȡ��ضȗl���£����������D׃�c���γɵ�ˮ���z�����@���ķ�ţ�D���w�О飬�ʬF���ҵļ���׃ϡ�����ޏ��������ɴ˽�Q�˔D�������з���D���ͱ������͵ă��y���}���Mһ�����������z���ͻ��W���z����Y�ϣ��@�����^������Ľ����zGelMAˮ���z���֧�ܡ��{��3D��ӡ�����g�࣬�Ƃ���һϵ���p�Ӷ��ˮ���z֧�ܡ��C�ϽY��֧�ܵ����W���ܡ��w�⼚���w�ƺ���ֳ����Լ��w�ȵ����P��ܛ��-ܛ���¹ǵ������ޏ͡��о��l�F����Û��ˮ���z֧���У��еȺ��m�Ŀ�϶�ܱ��C�����ij���w�ơ��I�B�ij��ݔ�Ͳ����ṩ��Ҫ�����W���ܡ������l�����������P��ܛ�ǵ��^�Y���ʬF�����ĽM���W�ΑB��

�D2 3D��ӡˮ���z֧�����ڹ�ܛ���ޏ��������P�I����

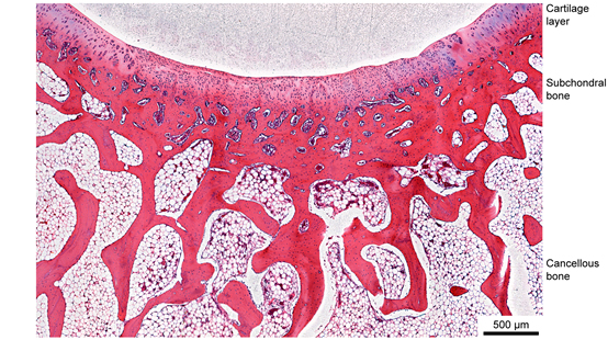
�D3 �����P��ܛ�Ǽ�����߅�ĽM���W�@�DƬ
�������P�ɹ���Advanced Healthcare Materials�l����ԔҊ��Jingming Gao#, Xiaoquan Ding#, Xiaoye Yu, Xiaobin Chen, Xingyu Zhang, Shuquan Cui, Jiayue, Shi, Jun Chen, Lin Yu, Shiyi Chen*, Jiandong Ding*, Cell-free bilayered porous scaffolds for osteochondral regeneration fabricated by continuous 3d-printing using nascent physical hydrogel as ink, Advanced Healthcare Materials, 2020: e2001404 ��Փ�ĵĹ�ͬ��һ�����Ǐ͵���W�߷��ӿƌWϵ���R���ʿ�����Aɽ�tԺ�\���t�W�о�����Т�ʿ��ͨӍ���ߞ��Aɽ�tԺ���������߷��ӿƌWϵ�����|������
Փ��朽ӣ�https://doi.org/10.1002/adhm.202001404
- �Ї������W��Է���ڈF� AFM������ͺϲ���ͬ�S3D��ӡ 2026-02-26
- �m�ݴ�W�����܈F� Adv. Mater.��3D��ӡ�ӑB�m�����ݶȉ��֧�����ڼ����Ч�����ޏ� 2026-02-15
- �пƴ�/���������dz����пƴ���� Adv. Mater.��3D��ӡ���D���~ - ���ܺ����F�������F���F�������� 2026-02-02
- ����������ƽ�����ı��w�ӽܵ� Angew�������x�ӽ��Qˮ���z���Y���~�������� 2024-04-07
- �������MԺ�w�������˺Ʋ�/����ďV�ȡ�Nat. Commun.�����m������ֲ���4D��ӡˮ���z֧�� 2024-02-24
- ʯ���Ӵ�W/�п�Ժ�m�ݻ������Z�Ρ��������F� AFM�������gˮ���z�OӋ�²��� - ��׃�T������x 2022-11-11
- �{����Դ�������֡�����/�����ǻ�tԺ�����١�� Adv. Mater.���Cе-�x���ˮ���zͨ�^��Դ������늴̼����Mܛ������ 2025-09-23