Ƥ�w��Ⱦ��һ�N��Ҋ�ļ���������Ƥ�w�M����ɓp�������lϵ�е��װY�������M�ܹ�ᯟ���ѽ�չ�F�����õĿ������ܣ�����IJ��ɿؔUɢҲ�����M����ɰ�ȫ�L�U���F���ǰ���������ݿ������ϵ��о����A�ϣ�Advanced Materials��2024��2405953�� Acta Biomaterialia��2024��175, 293-306��Small��2024��2311967��Advanced Science��2024��2405764��Nano Today��2024��57��102390�������l�F��������߀���Ԝp�ٟ�Uɢ��Materials Horizons��2024��4651��ACS Applied Materials & Interfaces��2024��53435������˅fͬ�������������Ŀ������ú���Ч������ã����������_�l��ȫ�ɿ��Ŀ������ϡ�
���о�������һ�N�ͺϷ��ϣ�������MXene�;���ϩ��늼��w�SĤ��PVA���M�ɣ���ͨ�^�Ό��ᣨTA�����Mһ�����ܻ���Ĥ���ݣ�OMVs�����c���y�ί�������ͬ���@�N�ͺϲ����܉��ڽ��t��������£�ͨ�^OMVs�ġ�����Ч�����@������MXene�Ĺ�����ܡ��ض������֕����^������OMVs��ͨ�ԣ��Ķ����M���݃Ȳ������������|������ጷš�OMVs�c�����ϵąfͬ�����������F�������Ŀ���Ч�����w����w�ȿ���Ч�ʽӽ�100%�����@�������˲��ό��M���ğ�p�����@�N�����������������һ�w�Ķ�ܡ��o�����ط���Ĥ��Ƥ�w���ڸ�Ⱦ���ί��ṩ��һ�N��ǰ���IJ��ԡ�

Figure 1.���ϵĺϳ�·�������ÙC��

Figure 2.���ݵı���Ч���c���ϵĹ��Ч��

Figure 3.���ϵ��w�⿹��������������Ĥ����

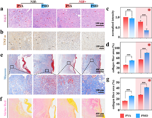
Figure 4.���ϴ��M��Ⱦ��Ƥ�w�����ޏ�

Figure 5.���ϵ�����������
ԓ�������}����Enhanced Photothermal Antimicrobial Effect of MXene-Doped PVA Electrospun Membranes via ��Bedquilt-like��Synergistically Heat Modulation and Biological Effects of Bacteria-Derived OMVs for Infected Wound Treatment���l���ڡ�ACS Applied Material & Interfaces�������µ�һ���ߞ��Ĵ���W�A����ǻ�tԺ������������ͨӍ���ߞ��Ĵ���W�A����ǻ�tԺ����ٮٮ���о��T���n���������t�����������õ��ˇ�����Ȼ�ƌW�����Ĵ�ʡ�Ƽ��d�Ŀ���A����ǻ�tԺ�Ŀ���Y��֧�֡�
ȫ��朽ӣ�https://pubs.acs.org/doi/full/10.1021/acsami.5c00006
- ����������ꐝ�/Ф�i�F� Adv. Mater. �C��������ˮ�����ϼ���ǰ�ؑ��� 2024-05-10
- �V����W����x�����n�}�M��Macromolecules�������пɿؾ����ޏͺͿ���𤸽���������Թ����� 2023-04-11
- �Ĵ���W��܊�A���ڈFꠡ�ACS Nano���������p����Һ�B���ټ{��Һ���OӋ���{�Y����������̫��ܸ�Ч�ռ� 2022-09-11
- ������������ֽ��ڈF� Adv. Mater.�����m�����ڷ������ڂ��������c�ޏ� 2025-12-25
- ��܊܊�t��Wţ���Ƚ��ڈF� ACHM�������Y���fͬ�����{�ص�DNA-�zԭ���ό��F�����o������? 2025-08-19
- �K��������/ţ���WꐄP�� Biomacromolecules: ţ�ǹ��w�S/�Q�z���ͺ϶��ˮ���z���� 2025-08-19
- �����tԺʯС�i���L����W�䛿� JCR�����г��mጷų��������������ܲ����Ƃ������ϵ����ͳ���������Һˮ���z 2024-11-26