��ˎʳͬԴ��ָ���S��ʳ�Tˎ�����֮�g���o�^���ķֽ羀���Ŵ��t(y��)�W(xu��)�Ҍ���ˎ�ġ����ԡ�������ζ����Փ�\(y��n)�õ�ʳ��֮�У��J(r��n)��ÿ�Nʳ��Ҳ���С����ԡ�������ζ������ˎʳͬԴ�����f��ˎ�cʳ����ͬ�r(sh��)��Դ�ġ����������ˎʳͬԴ���������ٴα����Hǰ���t(y��)�W(xu��)���P(gu��n)ע��2022�꣬��Nature Medicine���e��(b��o)����A Food is Medicine approach to achieve nutrition security and improve health��ָ����ʳ����ǠI�B(y��ng)��Դ��Ҳ�ǝ��ڵġ�ˎ����������ʳ���A(y��)�܉���Ч��������ƽ�⡢�������Լ����L(f��ng)�U(xi��n)�����@һ�����£��帻����I�B(y��ng)�������|(zh��)���������ֹ���l(f��)�F(xi��n)�ĺ��РI�B(y��ng)�����S����ʳ��֮һ��������������(zh��n)�����YԴʳƷ���������ߠI�B(y��ng)�cˎ�����Ե���Ȼ�YԴ�����ɞ顰ˎʳͬԴ���a(ch��n)�I(y��)����Ҫ�M�ɲ��֡������塢С���塢�����t����ȣ����H���������|(zh��)�����ǡ����{(l��n)���ס��r���غͲ��֬���ᣬ߀���(y��n)�C���������{(di��o)��(ji��)�������������ȶ��ع�Ч�����u(y��)�顰�Gɫ�������족��
���Y�ί��ѽ�(j��ng)�M(j��n)�������ί��r(sh��)����Ȼ�������R���@���ͬ�r(sh��)���sҲ���ⲻ�������ί����P(gu��n)��������(y��ng)�������Լ��ٔ�(sh��)��r�¿���Σ����������ɲ������g(sh��)�����t���g(sh��)�������g(sh��)�l(f��)�Y�Ŀ��ܡ��mȻ����(li��n)�ϻ����c�μ�������ȣ��^�����(sh��)3��-4����������(y��ng)�l(f��)���ʛ]���@�����x�����������������P(gu��n)��������(y��ng)��immune-related adverse events, irAE�����������������P(gu��n)���ס����K���ԡ����������Լ�������Ҋ����(y��n)�ض��Ե��ѽ�(j��ng)��(y��n)��Ӱ푻��ߵ��A(y��)���s54%~76%�İ��Y���߳��F(xi��n)�������P(gu��n)�����¼���irAE����
Ŀǰ�����������P(gu��n)��������(y��ng)�ľ��w�l(f��)���C(j��)���в�ʮ�����_��һЩ��Ҫ�ĝ��ڙC(j��)�ư���T��(x��)�������������[���������M���ϵĿ�ԭ�Ļ�������(qi��ng)���Ѵ��ڵ��������߿��w���װY��(x��)������ˮƽ���ߣ���(x��)������T�ܰͼ�(x��)�����P(gu��n)��ԭ4�� CTLA-4�����w�c���_(d��)CTLA-4���w�������M��ֱ�ӽY(ji��)�ϵijɷֽ錧(d��o)�����߷���(y��ng)����(qi��ng)��Ȼ�������������ϵ�y(t��ng)Ҳ���ܕ��������w����������ϵ�y(t��ng)������һϵ�е�irAE����Ҋ��irAE����Ƥ�w���ԡ���(n��i)���ڶ��ԡ����K���ԡ�θ�c�����ԡ��ζ��ԡ��������ⶾ�ԡ�ݔҺ����(y��ng)����Ҋ��irAE������(j��ng)���ԡ�ѪҺ���ԡ��I�K���ԡ����K���ԡ��۶��Եȡ�
���գ��㽭��W(xu��)������ڈF(tu��n)�(du��)�ڇ��H피��ڿ���Cell���ӿ���Cell Biomaterials�� �l(f��)�����}�� ��Enhancing Anti-Tumor Immunity and Reducing Toxicity: A Medicine and Food Homology Formula for ICB Therapy�� ���о�Փ�ġ��F(tu��n)�(du��)�ġ�ˎʳͬԴ��������l(f��)����(chu��ng)���Ե��_�l(f��)��һ�N���������ˎ��Ч�ɷֵĿڷ����f����CV/APS-MSs��������ͨС���壨Chlorella vulgaris, CV���c��ˎ�S����Ҫ��Ч�ɷ�-�S�ζ��ǣ�Astragalus polysaccharides, APS���f(xi��)ͬ���b����(sh��)�F(xi��n)������(qi��ng)���ߙz���c(di��n)��ࣨICB����Ч���@�����Ͷ��Ե��p�����á�ԓ�о����H�(y��n)�C��С�����c�S�ζ��Džf(xi��)ͬ����(qi��ng)�����ί���Ч�����Ͷ��Ե����ã�Ҳ�״��@�������� ��ˎʳͬԴ���a(ch��n)Ʒ�Ī�(d��)�r(ji��)ֵ��δ�����������c��������נI�B(y��ng)�صȅf(xi��)ͬ��(y��ng)�ã��ɞ顰ʳ�Tˎ�Food is medicine�����������Ҫ�M�ɣ���Gɫ����ȫ���LЧ�Ľ������A(y��)�_����·����

�n�}ʾ��D��CV/APS-MSs (li��n)�����ߙz���c(di��n)���Ƅ��������[����Ч�������������P(gu��n)��������(y��ng)�ęC(j��)��ʾ��D��
1.CV/APS-MSs ���Ƃ��c����
�������ؼ��g(sh��)��С���壨CV���c�S�ζ��ǣ�APS����ͬ���������|(zh��)�����ϩ�����HAMA�����(n��i)���γ�Ҏ(gu��)�t��һ�����νY(ji��)��(g��u)��ԓϵ�y(t��ng)�@�����o(h��)���Գɷ�����θ���⣬��(sh��)�F(xi��n)�Y(ji��)�c����ጷţ�>75% ˎ���ڽY(ji��)�cጷţ���������С����ğɹ����Լ����ԡ�

�D1 CV/APS-MSs ���Ƃ��c����
2.CV/APS-MSs �Ŀ������c���[������
CV/APS-MSs �Y(ji��)���� CV �� APS �Ŀ�������(y��u)�ݣ��@����� ·OH��H2O2 ��
O2·?����Ч���� LPS �̼����c��Ƥ��(x��)����IEC-6���� ROS ˮƽ�����o(h��)��(x��)�����ԡ��ں�ɫ������(x��)����B16F10���У�CV/APS-MSs �@�������[����(x��)����ֳ���T��(d��o)��(x��)��������ͬ�r(sh��)��������(x��)���o���@���ԡ�

�D2 CV/APS-MSs �Ŀ������c���[������
3.CV/APS-MSs ���w��(n��i)�ֲ��c����
С������~�G�ؼtɫ�ɹ��cFITC ģ�M APS �pͨ�������@ʾ��CV/APS-MSs ��θ�ͻ��c��(w��n)�����ڣ�4 h ����Ҫ�ֲ���ä�c�c�Y(ji��)�c������ 24 h ���Կəz�y�������ڽY(ji��)�c��(n��i)����ጷŃ�(n��i)����o������Ҫ�K���ֲ������F(xi��n)�����ÿڷ���ȫ�ԡ�

�D3 CV/APS-MSs ���w��(n��i)�ֲ��c����
4.����ICB �T��(d��o)�ĽY(ji��)�c��
��DSS + ��-CTLA-4/��-PD-1 �T��(d��o)�����ߙz���c(di��n)���Ƅ���ICB�����P(gu��n)�Y(ji��)�c��ģ���У�CV/APS-MSs �@�������w���½���ֱ�c��Ѫ���Y(ji��)�c�s�̺�Ƣ�K�[���������߽M���@ʾ����Ч�p�p��Ƥ�p������(x��)�������� TNF-����IL-6��IL-1�� ���_(d��)��

�D4 ���� ICB �T��(d��o)�ĽY(ji��)�c��
5.��ߺ�ɫ�������D(zhu��n)��ģ����ICB ��Ч������ irAEs
��B16F10 ���D(zhu��n)��ģ���У�CV/APS-MSs (li��n)�� ICB �@�������[�����L���������_(d��) 99.4%�������@�p�ٷβ��D(zhu��n)���(sh��)���c���������@ʾ�������ں�ɫ�����ď�(qi��ng)Ч�������á�

�D5 ��ߺ�ɫ�������D(zhu��n)��ģ���� ICB ��Ч
6.����irAEs ������(qi��ng)���[�����߷���(y��ng)
ԓ(li��n)���ί��@������ICB ����ĽY(ji��)�c��Ƣ�[��ͬ�r(sh��)��� CD8+/CD4+ ����������(qi��ng)Ч��(y��ng)�Լ�(x��)������ TNF-����GZMB��IFN-�� �Įa(ch��n)���������� Treg �ı�������ʾ����������Ч��ͬ�r(sh��)��Ч�����������P(gu��n)��������(y��ng)��

�D6 ���� irAEs ������(qi��ng)���[�����߷���(y��ng)
7.�{(di��o)��(ji��)ICB �ί��µ��c����Ⱥ
16S rDNA �y���@ʾ��CV/APS-MSs ���������� Lactobacillus �� Faecalibaculum ���S�ȣ������c��Ⱥʧ�����P(gu��n)�� Proteobacteria�����m��Ծ�������Ĥ�γ��������Ķ����ƾ�Ⱥ�Y(ji��)��(g��u)������(qi��ng)���߷���(y��ng)��

�D7 �{(di��o)��(ji��) ICB �ί��µ��c����Ⱥ
8.�S����ֲFMT/ABX ��(sh��)�(y��n)�C��(sh��)��Ⱥ�P(gu��n)�I����
�S����ֲ��FMT���ɏ�(f��)�� CV/APS-MSs �Ĵٯ�Ч�c�p�����ã��������أ�ABX���ɔ_�t�@�������俹�[���Ϳ���Ч������ʾ�c����Ⱥ�{(di��o)��(ji��)�� CV/APS-MSs �l(f��)�]���õĺ��ęC(j��)�ơ�

�D8 FMT/ABX ��(sh��)�(y��n)�C��(sh��)��Ⱥ�P(gu��n)�I����
9.FMT �c ABX ����Ⱥ�M�ɵ�Ӱ�
FMT �M����U���c�S�U���S���@������ FMT+ABX �M�������²����������ߣ���ʾ�����ؿ��Ɖ���������(y��u)�ݣ����������{(di��o)���c����Ч����

�D9 FMT �c ABX ����Ⱥ�M�ɵ�Ӱ�
10. ���ﰲȫ���u��
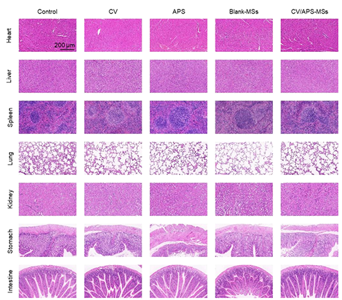
�L�ڿڷ�CV/APS-MSs ��Ӱ�Ѫ��Ҏ(gu��)�����I���ܣ�����Ҫ�K����θ�c���M��δҊ����p�����@ʾ�����õ������������c��ȫ�ԡ�

�D10 ���ﰲȫ���u��
�о����Y(ji��)�����о�����ˎʳͬԴ���������c(di��n)����ʾ�����c���Džf(xi��)ͬ��(y��ng)���������ί��м�������(qi��ng)��Ч�����ܽ��Ͷ��Եĝ��������о���(sh��)�F(xi��n)������y(t��ng)��λ������I�B(y��ng)�a(b��)�䣩����t(y��)�W(xu��)����(zh��n)�ί�������ˎ��/ˎ���d�w���Ƽ��������岻�H������(y��u)�|(zh��)�I�B(y��ng)�ɷ֣�߀�߂������{(di��o)��(ji��)�Ϳ��ȶ��ػ��ԣ����܉��c��������ױ���Ʒ�ȵ���ˎʳͬԴ�ɷօf(xi��)ͬ���ã��顰ʳ�Tˎ�Food is medicine��������Č�(sh��)�`�_�����·���
ԓՓ�ĵ�һ���ߞ��㽭��W(xu��)�D(zhu��n)���t(y��)�W(xu��)�о�Ժ��ʿ������Ϫ�Ͳ�ʿ��犵�������ʿ����ԣ���㽭��W(xu��)�������ڞ�ͨӍ���ߡ������о��õ��ˇ������c(di��n)�аl(f��)Ӌ(j��)���(xi��ng)Ŀ��������Ȼ�ƌW(xu��)�����㽭ʡ�I(l��ng)܊��(chu��ng)��(chu��ng)�I(y��)�F(tu��n)�(du��)���M(j��n)Ӌ(j��)���Ȼ����(xi��ng)Ŀ�Ĵ���֧�֡�
Փ��朽ӣ�https://www.cell.com/cell-biomaterials/fulltext/S3050-5623(25)00173-4
- ���o���P(gu��n)��
�\���P(gu��n)ע�߷��ӿƼ�
- 2026����ߌ��Ї���(sh��)�(y��n)�Ұl(f��)չ...
- �����I(l��ng)Ʊح300+���h��I(y��)�R��...
- �P(y��ng)���Ж|�����L���Ѓx�����{(l��n)...
- �f����Ŀ �ذ��_�֣�2025�C(j��)...
- ICIE���H(�V��)Ϳ�Ϲ��I(y��)չ�[...
- �_չ�ڼ����ۄ�������朄�δ...
- 9������Ҋ���£�AI�(q��)��+���a(ch��n)...
- �P(gu��n)���e�k�ڶ�ʮ�����Ї����H...
- �R�ۼ�˃x�� ����ȫ���̙C(j��) ...
- CPHI����չ��(sh��)�(y��n)�҃x���c�O(sh��)��...
- ���ܹ��A��朆���������22��...
- �|�A��W(xu��)�������о��T/ʷ��...
- �칤����x/���ƽ��F(tu��n)�(du��) ACS ...
- ������������ֽ��ڈF(tu��n)�(du��) Nat...
- �Ͼ��֘I(y��)��W(xu��)�̳�� Matter...
- ����������W(xu��)����/��ӯ�� A...
- �L����(y��ng)����ꐌW(xu��)˼/���@/����...
- �A��������W(xu��)�����x����/...
- �m�ݴ�W(xu��)�����܈F(tu��n)�(du��) Adv. Ma...
- ����W(xu��)�����h(yu��n)���ڈF(tu��n)�(du��) AFM...
- �Ͼ����������E/Ҧ���ĈF(tu��n)�(du��) ...
- �|�A��W(xu��)������/���ܫh�F(tu��n)�(du��)...