�Yֱ�c����CRC����ȫ��������Ҋ�Đ����[����ÿ���°l�������^190�f���������˔��ӽ�93.5�f���M�ܽ�������߯������ڶ�N���Y�ί���ȡ�����@��ͻ�ƣ����Yֱ�c�����ߵ������ί�������Ȼ�^�������������e���ޏ�ȱ�ݣ�dMMR�����l�Dz�������MSI-H���Ļ����������ߙz���c���Ƅ���Ч���������롣CRC���������ݙC�Ə��s���[���h���д��ڴ��������������������������[�����P���ɼ��������ã��@Щ��������CRC�İl���Ͱlչ�а������p�ؽ�ɫ��һ���棬���ɼ���������������ϵ�y����Ҫ�M�ɲ������܉��R�e������[����������һ�����������ɼ����ܵ������������Ӱ��������Ǽ����ȼ����ĸ�Ⱦ�r�������������D׃��M2�͘O�������M�������ƭh�����γ����Mһ�����L�[�������L���D����
��CRC�о�����Խ��Խ����C���������[���h���еļ����������Ǽ����ȼ������������������ݵ��P�I��ɫ���������ߺ���U����Fusobacterium nucleatum��Fn������һ�N�خ�����ֲ��CRC�[���еļ������܉�ͨ�^��Ⱦ�[�����P���ɼ�������׃���������߱��ͣ��T���������ƭh�����γ����@�N����ͨ�^����TLR4/NF-kB/S100A9��̖ͨ·���{��CXCL2/CXCR2�S�����MM2�;��ɼ����O����ͬ�r߀����ļ�����Դ�����Լ������Mһ���ӄ�����������������s������Fn�ļ����ȴ����܉������[���������ݵęC�����@Ҳ���S��CRC���ߌ����ߙz���c���Ƅ��������ѵ���Ҫԭ����
Ȼ�����M�ܿ��������ί�������Ⱦ���汻�V�����������䌦�����Ȳ�ԭ�w���e���[���h���еļ�����Ч�����������y�Ŀ��������Ȝ�����������ˎ�Ԯa���Լ����c����Ⱥ���Ɖģ������o����Ч�����[���еļ�����Ⱦ�������������صķ��خ���ጷ�Ҳ���܌����������a������Ӱ�����ˣ��_�l�܉_�����[�������ȼ����Ą����ί������ɞ���һ���o�ȵ�����
���Q�@һ��������I��W���x�����c���ƽ���ʿ�F��_չ��һϵ���о���ּ��ͨ�^�{���g���ʸ��A�[���h�������������ί���Ч�����������F꠰l����һ��о��������һ�N�Լ���ۺ���{��ø��AS@PMFM����ԓ�{��ø�܉ʰ�������[�����P���ɼ����ȵ�Fn��
2026��2��19�������P�о��ɹ�����Engineered Self-Activatable Polymeric Nanozymes Precisely Eradicate Tumor-Associated Intramacrophage Bacteria to Potentiate Immunotherapy Based on Cluster of Differentiation 47 Blockade�����}�l����ACS Nano�ϣ�DOI: 10.1021/acsnano.5c15423������I��W���ƽ���ʿ���һ���ߣ�ͨӍ���ߞ����x���ڡ����x�Tʿ�������������������ͻ��ؕ�I��ͬ�r���x�������c�аlӋ����������Ȼ�ƌW�����Լ���������c���������������Y����
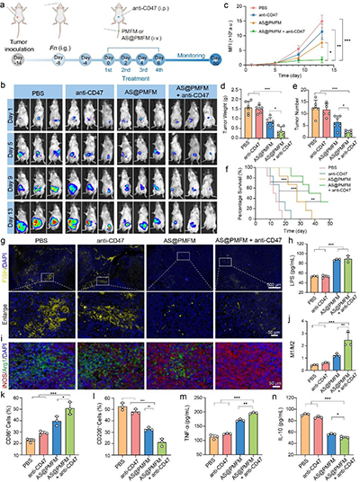
�c���y�Ŀ����ز�ͬ���@�N�{��ø�����˸߶�ᘌ��Եİ�����ԣ��܉�ͨ�^��¶�����w�錧�ă������ã��x���Ե��M���Ⱦ��M2�;��ɼ�����һ���M�뼚�����^���Ě��^�����D��{��ø��ጷų����r�F��Fe2+���������أ�AS��������Fenton�����a�������������������Ķ���Ч����Fn��ͬ�r��������ͨ�^�T�����ɼ������������{��ø�ͼ�������λ��������ø�w���_�������ľ���������@һ�о����P�I����������ͨ�^����Fn�����D�˸�Ⱦ���ɼ������������Ʊ�������ͨ�^CXCL2/LPS�S�ļ�����Mδ��Ⱦ���ɼ�����M1�͘O����ȫ���������[�������h�����canti-CD47���w��ʹ�Õr��AS@PMFM���F���ˏ���ąfͬЧ�����@�������������ί���Ч�����������[�����L�������L��С�����������
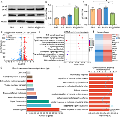
ֵ��һ��������F�һ����ǰ�ڡ�Journal of Controlled Release���ڿ��ϰl������һƪ�о���Ҳչʾ�������ڼ����ȼ�������������ί�����Ч����ij��m̽����ԓ�о��_�l��һ�N����MTCP-NPs�����ܼ{��ǰˎ��ͨ�^�p���i������C�ƣ����ʰ���M2�;��ɼ�����������ȵ�Fn��ԓ�ί����H��Ч�����˼�����߀ͨ�^���T���������������������˿�PD-L1�����ί���Ч��������о���ͬչʾ��ԓ�F��ڼ����ȼ�������c�����ί��Y�Ϸ���Ą��³ɹ����Mһ�������˾��������ί���CRC�еđ��á��@Щ�о��ɹ��������ί��ṩ���µIJ�����ͨ�^���������[���h���еļ�������������ϵ�y�������������ί���Ч����չʾ�˼{���g�ڰ��Y�ί��еľ�����

�D1. (a) ���ɼ��������Լ���ۺ���{��ø��AS@PMFM�����ԽM�b�cH2O2�T�����wʾ��D��(b) AS@PMFM��Fn��ֲ��ԭλCRCС��ģ���е��ί��C��

�D2. �ۺ���{��ø���Ƃ��c����

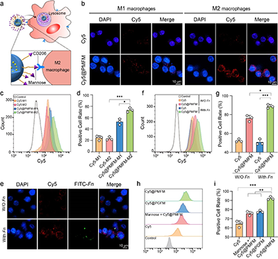
�D3. �����⿹�����ü����ɼ�����Fn�y��

�D4. M2���ɼ����خ��ԃȻ�

�D5. �����ɼ����ӵļ����ȿ�������

�D6. ������Fn�������Ⱦ��δ��ȾM2���ɼ�����M1�͘O��

�D7. �w������ֲ���ˎ�������W�о�

�D8. CRCƤ���[��ģ�͵��w�ȿ��[��Ч���u��

�D9. �[��������Fn�������[�����P���ɼ������ؾ���

�D10. �w�����ɼ�����߷����̼��C�Ʒ���

�D11. ԭλCRC�[��ģ�͵��w�ȿ��[��Ч���u��
Փ��朽ӣ�https://doi.org/10.1021/acsnano.5c15423
- �������S���e���ڈF� AFM������H2O2�H�������w���t���\��ԇ���� 2025-09-08
- ����߿ƻ��W�WԺ�����۽����c������ JACS: �����͡��ø���{�ײ��� �� �I�������� 2025-07-20
- ��ɽ��W�Ƕ�ؔ/�S�ſ�/������/���x�F� Adv. Mater.�������L�v���ԵĿ�ע����̿�{��øˮ���z���F�[���ąfͬ�ί� 2025-07-04
- �칤����x/��ԕ��F� Acta Biomater.�������p�Ҷ�ܼ{��ˎ��˷��ߺ���U���錧�ĽYֱ�c��������ˎ�c�������� 2025-02-11
- �칤����x/���ƽ��F� JCR���[�������Ȳ�ԭ�w��������{���Ƅ����������Yֱ�c�������ί� 2025-01-27
- �칤����x���ڈF� AHM�������Yֱ�c���Ŀ�Ѫ�����ɻ��������װY�������������[���h�� 2024-12-26
- ɽ�|��W�������ڈFꠡ�Adv. Mater.������������������ˮ���z���� - ���F���Ի��[�������ί���ͻ�� 2025-10-09